
إنقاذ حياة رضيع بالرياض: استخراج مسمار من مجرى التنفس
إنقاذ حياة رضيع في الرياض: إنجاز طبي جديد
تمكنت الكوادر الطبية في مدينة الملك سعود الطبية، العضو في تجمع الرياض الصحي الأول، من تسطير إنجاز طبي جديد يضاف إلى سجل المملكة العربية السعودية في مجال الرعاية الصحية. حيث نجح فريق طبي متخصص في إنقاذ حياة طفل رضيع لا يتجاوز عمره الثمانية أشهر، وذلك بعد خضوعه لعملية جراحية دقيقة وحساسة لاستخراج جسم غريب وخطير من مجرى التنفس.
تفاصيل العملية الجراحية الدقيقة
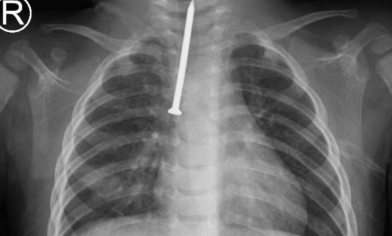
في تفاصيل هذا الحدث الطبي، استقبلت الطوارئ حالة حرجة جداً للرضيع الذي كان يعاني من اختناق وصعوبة حادة في التنفس نتيجة استنشاقه المفاجئ لجسم غريب. وبعد إجراء الفحوصات الإشعاعية اللازمة، تبين وجود مسمار معدني يبلغ طوله 5 سنتيمترات مستقر في المجرى الهوائي الرئيسي للطفل. على الفور، قرر الفريق الطبي بقيادة الدكتور محمد العصيمي، رئيس قسم جراحة الصدر ورئيس الفريق الجراحي، نقل الطفل بشكل عاجل إلى غرفة العمليات.
تم إجراء عملية تنظير صلب للقصبة الهوائية ومجرى التنفس، وهي تقنية طبية متقدمة تتطلب دقة متناهية لتجنب إحداث أي تمزق أو نزيف في الأنسجة الرقيقة للرضيع. وبفضل الله ثم بفضل كفاءة الفريق، تم استخراج المسمار بنجاح دون حدوث أي مضاعفات خطيرة، ليتجاوز الطفل مرحلة الخطر ويبدأ في التماثل للشفاء.
خطورة ابتلاع الأجسام الغريبة عند الأطفال
تعتبر حوادث استنشاق أو ابتلاع الأجسام الغريبة من أكثر حالات الطوارئ الطبية شيوعاً وخطورة لدى الأطفال، خاصة في الفئة العمرية ما دون الثلاث سنوات. وتكمن الخطورة في أن مجرى التنفس لدى الرضع يكون ضيقاً جداً، مما يجعل أي جسم صغير قادراً على إحداث انسداد كلي أو جزئي يؤدي إلى نقص الأكسجين. وتزداد الخطورة بشكل مضاعف عند التعامل مع أجسام حادة مثل المسامير، التي قد تسبب ثقوباً مميتة في القصبة الهوائية أو الرئتين.
مدينة الملك سعود الطبية: تاريخ من التميز
يعكس هذا الإنجاز النوعي الإمكانيات الطبية المتقدمة التي تمتلكها مدينة الملك سعود الطبية، والتي تعد واحدة من أقدم وأكبر الصروح الطبية في العاصمة الرياض منذ تأسيسها في عام 1956م. وتواصل المدينة تقديم خدمات رعاية صحية متخصصة، مدعومة بأحدث التجهيزات الطبية والكوادر البشرية المؤهلة للتعامل مع أعقد الحالات الجراحية، خاصة في قسم عمليات الأطفال.
تأثير الإنجاز وتوافقه مع رؤية المملكة 2030
على المستوى المحلي والإقليمي، يبرز هذا النجاح الجراحي التطور الملحوظ في قطاع الرعاية الصحية في المملكة العربية السعودية. ويأتي هذا التطور كثمرة للدعم المستمر من القيادة الرشيدة، وتماشياً مع أهداف برنامج تحول القطاع الصحي ضمن رؤية المملكة 2030، والذي يهدف إلى الارتقاء بجودة الخدمات الصحية، وتسهيل الوصول إليها، وتعزيز كفاءة المستشفيات الحكومية لتكون في مصاف المؤسسات الطبية العالمية. إن توفر هذه التقنيات الدقيقة والكوادر الوطنية المحترفة يبعث برسالة طمأنينة للمجتمع، ويؤكد على جاهزية المنظومة الصحية للتعامل مع كافة التحديات الطبية الطارئة.



